veterinary-websites-online-marketing

Fixing a Broken Jaw in 2 Steps

Date: 11/29/2021

Time: 9:15 am - 11:00 am

Location: Your Hospital


Event Details:

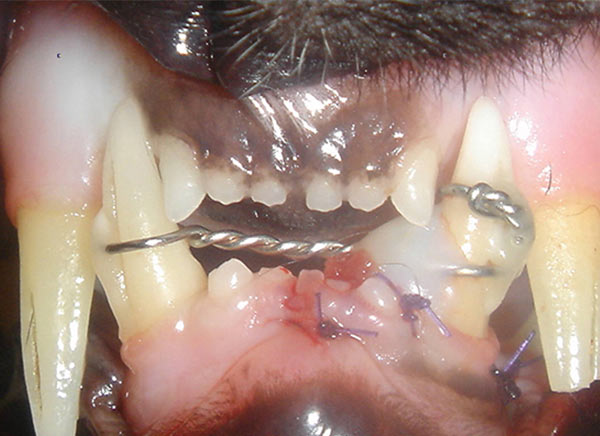
Accidents happen. As a dental specialty practice, we see the full spectrum of oral and facial injuries. Jaw fractures can occur due to blunt force trauma, rough play with other animals, dental disease or bone disease. Injuries to the mandible or maxilla can have consequences for how your pet’s teeth and jaws can be used to chew and play for years to come.

This increases your pet’s comfort, and often provides you, the owner, with a manageable post-operative care plan. Our distinct approach also treats dental injuries as part of a comprehensive plan for overall patient comfort and recovery.

BOOK TODAY:

Bookings are closed for this event.

Veterinary Websites by Cheshire Partners LLC
Share on facebook
Facebook
Share on twitter
Twitter